冷たいものや甘いものが「キーン」としみる

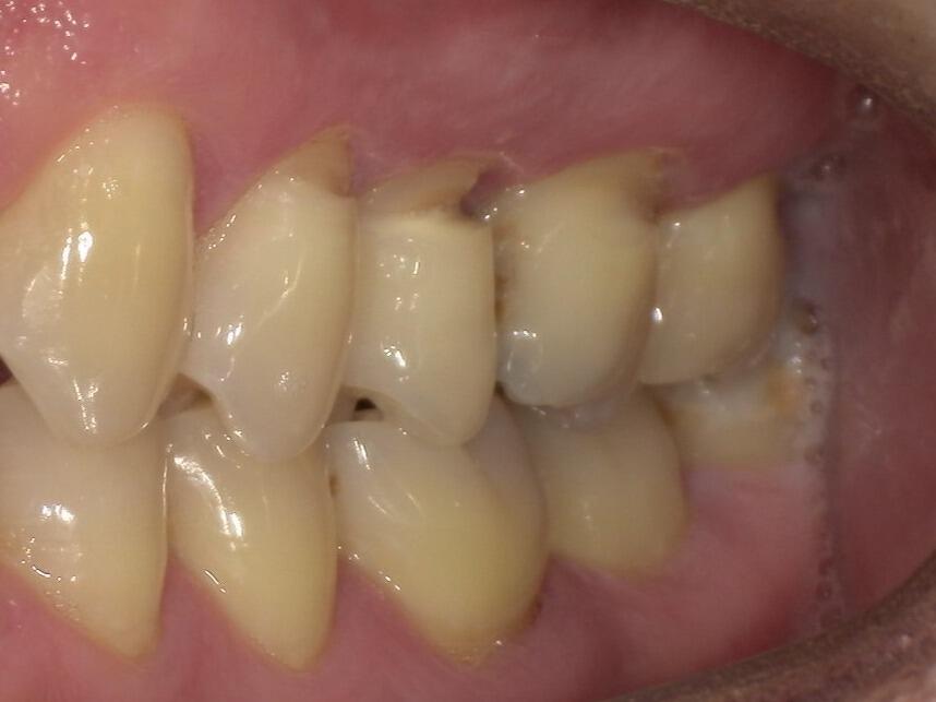
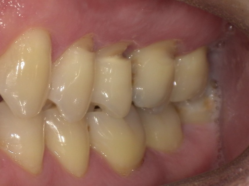
知覚過敏の原因になる、歯の根元の「くさび状欠損」


冷たいものや甘いものが「キーン」としみる…
それは 知覚過敏 のサインかもしれません。

知覚過敏は、象牙質が露出してしまうことで、歯の神経に刺激が伝わりやすくなる状態です。
象牙質が露出する原因には、次のようなものがあります。

【象牙質が露出する主な原因】
・間違ったブラッシング(力を入れすぎている)
・噛み合わせの異常や歯ぎしり
・歯周病による歯ぐきの退縮で根元が露出する
・酸性飲食物の摂りすぎによる虫歯
これらが積み重なることで、歯の根元がえぐれてしまう 楔(くさび)状欠損 を引き起こすこともあります。

【当院の主な治療法】
当院では、症状や進行度に応じて次のような治療を行っています。

・軽度の知覚過敏
→ コーティング剤 や 専用のシーリング剤(象牙細管封鎖材) を使用して、刺激が神経に伝わるのをブロックします。

・楔(くさび)状欠損(写真のように、歯の根元が欠けてしまった場合)
→ 見た目も自然で、歯を大きく削らずに済む CR充填(白い樹脂での修復) を推奨しています。

【放置しないことが大切】
知覚過敏は、早めの治療で改善が期待できます。
「しみるのは仕方ない」と我慢していると、症状が進み、欠けたり汚れが溜まりやすくなることも。
気になる症状がある方は、いつでもお気軽にご相談ください。


この記事をシェアする