キジマ おくちのクリニック
  • よくある質問
  • クリニックツアー
  • 交通アクセス

診療時間:【午前】9:00~12:30【午後】14:00~17:30 /(土曜)14:00~16:30【休診日】水曜・日曜・祝日詳細

  • クリニックについて
  • 診療内容
  • 診療方針
  • お知らせ
  • お問い合わせ
MENU
  • クリニックについて
  • 診療内容
    • 予防歯科
    • 一般歯科
    • 小児歯科
    • 口腔外科
    • セラミック(自費)
    • ホワイトニング(自費)
    • 目立たない入れ歯(自費)
  • WEB予約
  • お問い合わせ
  • お知らせ
  • クリニックブログ
  • Facebook
  • Instagram
  • アクセス
  • プライバシーポリシー
  • サイトマップ
  • 076-
    254-
    6446
  • WEB予約

クリニックブログ

2025年01月10日(金)

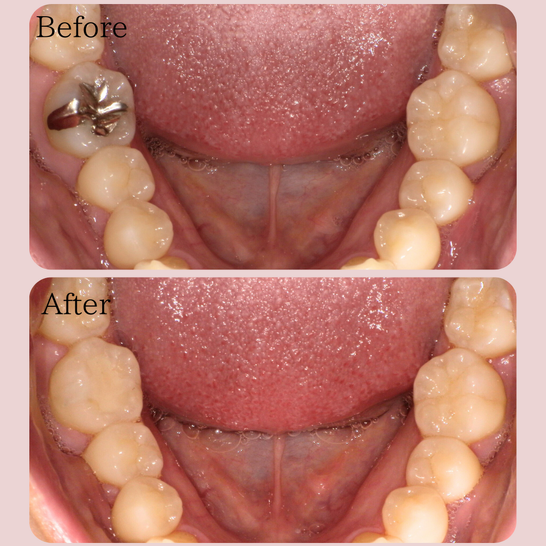
新しい自費のCR材料を導入しました!



この記事をシェアする

  • Twitterでシェアする
  • Facebookでシェアする
  • LINEで送る
  • 前のページ来年もよろしくお願いいたします
  • 一覧へ
  • 次のページ オフィスホワイトニング

一覧へ

クリニックブログ

  • 宝塚観劇に行ってきました!
  • クリーニング症例紹介
  • 患者さんからの素敵な贈り物
  • なぜ歯医者に何度も通わないといけないの?
  • 「最近口の中が乾く・・・」そんな悩みはありませんか?
  • 大の里関 横綱昇格祝賀パレード!!
  • 歯間ケアできていますか?
  • 保険医協会新聞に掲載されました!
  • 歯みがき粉どう選んでいますか?
  • 顎関節症を知っていますか?
  • ホーム
  • 電話
  • WEB予約
  • 診療内容
ロゴ_キジマ おくちのクリニック

石川県河北郡津幡町北中条2丁目33番地
TEL 076-254-6446 / FAX 076-254-6447

お問い合わせ
WEB予約
ロゴ_キジマ あたまのクリニック バナー画像 SEIRA アートメイク リンパサロン エミアート
  • クリニックについて
    • ごあいさつ
    • 院長紹介
    • クリニックの理念
    • クリニックツアー
    • アクセス
  • 料金について
  • 採用情報
  • 届出施設基準について
  • 診療内容
    • 予防歯科
    • 一般歯科
    • 小児歯科
    • 口腔外科
    • セラミック治療
    • ホワイトニング
    • 目立たない入れ歯
  • お知らせ
  • クリニックブログ
  • お問い合わせ
  • よくある質問
  • プライバシーポリシー
  • ソーシャルメディアガイドライン
  • クッキー(Cookie)について
バナー画像 セキュリティ対策自己宣言

© 2025 Medical Corporation Brain Health.