保険診療と⾃由診療の違いについて

⻭科治療には、保険診療と⾃由診療の2種類があります。

保険診療

保険診療は、機能の回復が⽬的になります。治療ルールや治療に使⽤する材料を決められてるため、審美(見た目の美しさ)や快適さに満⾜できないことがあります。

自由診療

保険のルールに縛られず、審美的・機能的・耐久性を追及できる方法と材料が使え、身体にもやさしい素材が多いです。ただし、保険診療より費用は掛かることが多く、また症例によっては適応できないこともあります。



患者様のお口の状態に応じて、保険診療または自由診療のいずれかを選択することになります。また、金属などの材料費の価格変動に伴い、料金が変更される場合がございます。

料⾦表(自費診療) 料金は税込です。

当院の自費診療の料金は、材料費の変動や設計の内容によって多少前後する場合がございます。
患者さま一人ひとりに合わせた治療プランをもとに、個別にお見積書をお渡ししております。
正確な費用につきましては、お見積書をご確認いただけますようお願い申し上げます

セラミックの被せ物

前歯(全体的な被せもの)



ジルコニア (強度が有り、艶とグラデーションに優れるセラミック) 100,000円
イーマックス(透明感あり綺麗ですが、ジルコニアほどの強度はない) 100,000円

イーマックス

イーマックス

左右どちらもセラミックですが、透明感、グラデーションと強度が異なります



メタルボンド(金属の表面に陶材を焼き付け、噛み合わせが深い方向け) 100,000円


前歯(部分的な被せ)



ラミネートベニア(歯の表面に一層貼り付けるセラミック、歯の切削量が少ない) 100,000円

ラミネートベニア

ラミネートベニア



奥歯(全体的に被せるクラウン)



ジルコニア(強度が有り、艶とグラデーションに優れるセラミック) 100,000円

ジルコニア

ジルコニア


ジルコニア

ジルコニア





DZ冠(色の選択肢が少なく、大臼歯向けのセラミック) 70,000円

DZ冠

DZ冠




金属または樹脂



ゴールド冠 (一番身体に優しい金属、ゴールドを使用) 約 90,000円

※ゴールドは時価にて変動あり


ゴールド冠

ゴールド冠



メタルボンド冠(内面に金属、表面に陶材を焼き付けたもの) 100,000円

メタルボンド冠

メタルボンド冠


メタルボンド冠

メタルボンド冠



ハイブリッドクラウン(白色の硬性樹脂で出来ており、強度は少し弱め) 50,000円



奥歯(部分的詰め物)



セラミックインレー(一番強度のある部分白い詰め物) 70,000円

セラミックインレー

セラミックインレー





ハイブリッドインレー(硬性樹脂の白い部分詰め物) 35,000円

ハイブリッドインレー

ハイブリッドインレー





ゴールドインレー(一番身体に優しい金属ゴールドを使用) 約60,000円〜

※ゴールドは時価にて変動あり


ゴールドインレー

ゴールドインレー



ダイレクトボンディング(前歯と奥歯の詰め物)

直接口腔内で、自費用の硬性樹脂を歯に詰めるものです。治療は一回になります。
セラミックと樹脂のハイブリッドで、審美的強度的に優れています。



前歯 30,000円/本
奥歯の咬合面のみ 15,000円/本

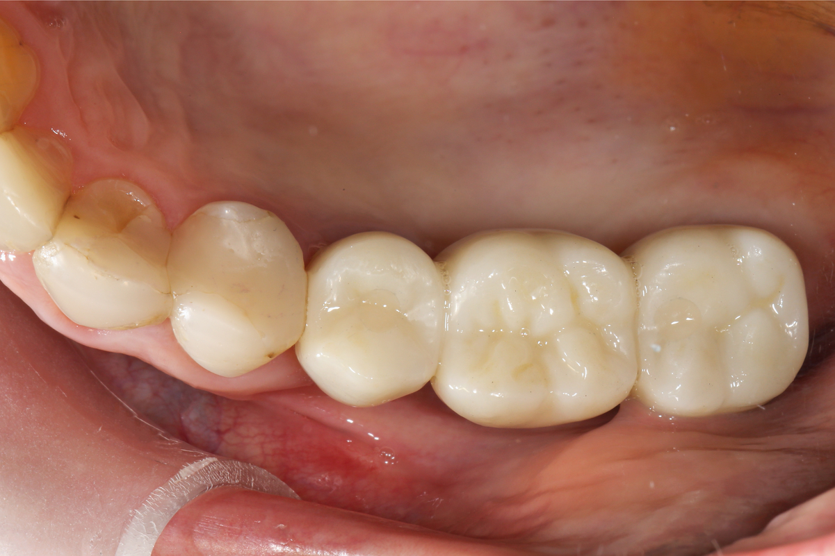
奥歯


Before / ダイレクトボンディング(奥歯)

Before / ダイレクトボンディング(奥歯)


After / ダイレクトボンディング(奥歯)

After / ダイレクトボンディング(奥歯)




前歯


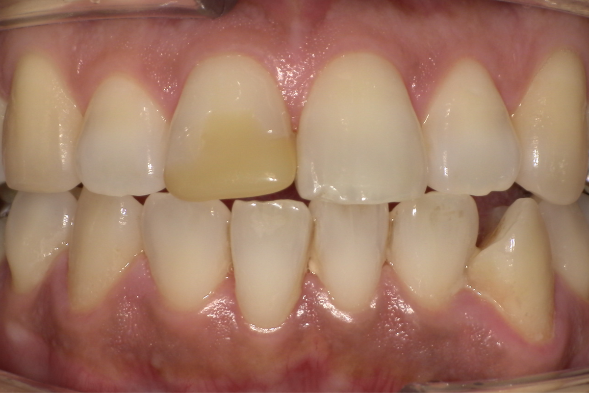
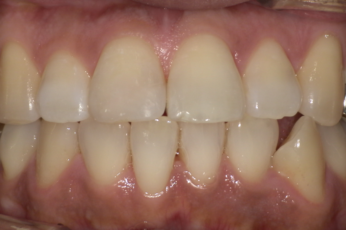
Before / ダイレクトボンディング(前歯)

Before / ダイレクトボンディング(前歯)


After / ダイレクトボンディング(前歯)

After / ダイレクトボンディング(前歯)




ホワイトニング


オフィスホワイトニング



オフィス (クリニックで2回行うコース / 知覚過敏前処置含む) 45,000円

オフィスホワイトニング

オフィスホワイトニング



ホームホワイトニング



ホーム(自宅で行う10回分をお渡し) 20,000円
ホーム(オーダーメイドトレーで自宅ホワイトニング) 35,000円
ホーム(お試しホーム5回分) 10,000円

ホームホワイトニング

ホームホワイトニング

ホームホワイトニング / オプションとして



知覚過敏予防の前処置 +3,000円
ホワイトニング後の着色防止処置(すぐに普段の食事が出来ます) +1,000円


入れ歯

金属床義歯



チタン床 280,000円/床
コバルト床 230,000円/床

チタン床

チタン床

※チタンはコバルトより、強くて薄く軽く、アレルギーも起こりにくいです。


左:プラスチック 右:金属床義歯

左:プラスチック 右:金属床義歯

部分義歯(金属)



チタン床 220,000〜270,000円/床
コバルト床 160,000〜230,000円/床

※薄くて装着感が良く、熱が伝わりやすいため、味を感じやすくなります。



ノンクラスプ(部分入れ歯のみ) 金属の無い入れ歯 (1床)120,000〜160,000円

ノンクラスプデンチャー

ノンクラスプデンチャー


ノンクラスプデンチャー(部分入れ歯)

ノンクラスプデンチャー(部分入れ歯)


ノンクラスプデンチャー(部分入れ歯)

ノンクラスプデンチャー(部分入れ歯)


ノンクラスプデンチャー(部分入れ歯)

ノンクラスプデンチャー(部分入れ歯)


ノンクラスプデンチャー(部分入れ歯)

ノンクラスプデンチャー(部分入れ歯)




ヒューマンブリッジ



ヒューマンブリッジ 270,000円~(欠損歯の数によります)

※入れ歯もインプラントも避けたい方にお勧め。歯の切削量がとても少ないので歯に優しいです。ただし、症例によっては難しい場合もありますので模型を取って判断します。



フッ素塗布



フッ素塗布 1,000円/回

※虫歯予防に、年に3〜4回の塗布をお勧めします。